生物3D打印設備
萊普?生物3D打印機 LivPrint?3D Bioprinter
高活性細胞打印 多類型打印噴頭系統,滿足復雜、精細結構的個性化定制,細胞存活率超過90%  | 多噴頭協作打印 多噴頭協作模式一秒內完成任意噴頭系統全自動切換,實現多種材料和細胞一體打印復合成型  | 
多區段溫度控制 由噴頭至打印平臺空間可實現制冷/加熱多區段獨立溫度控制、梯度分布、溫度實時監測  | 微納仿生制造 實現由微米至納米級的高精度打印微納制造,實現精準仿生結構制造  | 
打印系統模塊化設置 設備高度模塊化易維護,可針對不同領域、不同研究需求選擇配置  | 高精度電機與傳動系統 采用高精度小慣量AC伺服電機系統以及精密傳動系統,精準制動打印噴頭系統,保證高打印精度。  | 
應用領域

整體服務體系

應用實踐 ? 經典案例
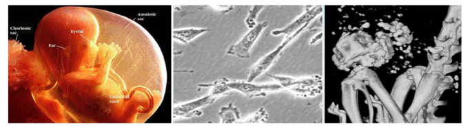
生物3D打印應用于羊水干細胞研究
美國Wake Forest University醫學院研究團隊實現了羊水干細胞生物3D打印,并在動物體內定向分化成有功能的骨組織。研究成果與所開發的羊水干細胞技術在《Nature Biotechnology》作為封面主題文章發表。該新型羊水干細胞技術被美國《時代》雜志評為2007年度十大醫學突破之一。
Paolo De Coppi, Tao Xu, et al. Isolation of amniotic stem cell lines with potential for therapy, Nature biotechnology, 2007.(IF=43.13,被引量1678次)

